骨肉瘤通常位于膝关节或上臂,肿瘤传播的可能性很高,可能需要切除骨段或全肢,而3D打印技术为特定患者进行骨移植手术提供了更好的治疗可能性。
近日,来自四川大学华西医院的一组医学专家团队在《世界肿瘤杂志》上发表了一篇研究论文,关于利用3D打印技术为患有胫骨干骺骨肉瘤的青少年开发定制膝关节置换假体。

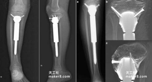
26个月后随访
一名患有胫骨干骺骨肉瘤的15岁男孩在大面积肿瘤切除并保留骺部后接受了闰盘同种异体骨移植重建。 然而,在术后发生了慢性同种异体移植排斥和感染,并形成窦道。当最初的移植物被移除并且植入一个含有抗生素的水泥隔离物后,病人的情况有所好转,但是该男孩的肢体功能仍然受到限制。
由于缺陷的形状奇怪以及胫骨近端胫骨的短小程度,该团队转而采用3D打印技术制造定制假体,以重建缺损并保护膝关节。该团队发现具有600μm孔径和65%孔隙率的多孔结构能够模拟人体中小梁结构的真实属性。

采用良好机械强度的钛合金作为非骨水泥假体的核心,以改善骨缺损区域与植入装置之间的匹配度。为使骨冲击融合效果更佳,3D打印假体远端部分的茎部涂覆了复杂的多孔生物陶瓷。近端部分采用电子束熔化(EBM)技术在Arcam Q10上进行3D打印,该技术在中国和世界范围内被广泛用于修复术。

在接受手术后,该青少年似乎对3D打印假体植入物的耐受度很好。26个月后对该男孩进行随访,其表现出“令人满意的肢体功能”,能够行走、奔跑、跳跃且不会感到疼痛。该假体与真正的胫骨吻合良好,膝关节展现出0-130°的运动并且Enneking功能评分为93%,这与正常膝关节相比是具有“可比性”的。
(编译自3ders.org)



