气颅在临床上并不少见,几乎均因颅脑外伤所致。
CT 表现如下:
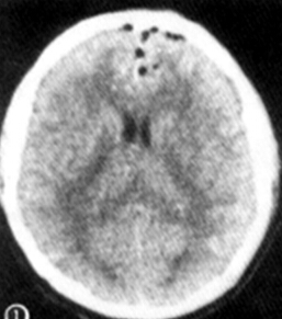
(1) 局限性气颅。表现为低密度小气泡, 气泡可密集排列或弧立存在, 可发生于大脑任何部位, 多在额叶及纵裂方, 少量气体经抗感染治疗, 脑组织可自行吸收消化, 一般不危及生命。

(2)张力性气颅;大量对称或非对称空气聚集,占据颅腔空间, 产生张力,压迫并刺激脑组织使其移位,而致使神经功能障碍,除头痛外,尚有进行性颅内压增高症状,严重者可危及生命。额部出现张力性气颅压迫使一侧脑组织向后移位,在CT影像上由低密度气体与脑组织形成“山峰征”。

出现此征可提示发生张力性气颅;如果骨折片刺破脑膜,蛛网膜裂孔较大,脑脊液漏出较多,造成颅内负压, 可使大量空气进入颅腔,在 CT 影像上呈脑内分散着大量弥漫性不均匀小空气泡, 形成“气泡征”,出现此征提示张力性气颅已广泛形成, 并有颅内压增高 。

在临床中,有以下表现之一者应考虑张力性气颅的诊断:
额部积气出现“山峰征”或“火山征”、“气泡征”或额部积气, 出现颅内压增高症状者;脑室内积气体脑室扩大者;脑干周围脑池组织积气伴有进行性颅内压增高症状和意识障碍或出现神经症状者。
(3) 混合性气颅。空气进入硬膜外或硬膜下腔, 蛛网膜下腔形成低密度气泡或低密度水肿区含有高密度血肿;高密度血肿分散着更低密度的小气泡。



